ฟันคุด "คนไข้มีฟันคุดอยู่นะคะ น่าจะรีบมาเอาออกนะคะ จะได้ไม่ปวด" นี่คงเป็นคำพูดที่คนไข้ไม่อยากได้ยินจากปากหมอใช่ไหมคะ แค่รู้ว่าตัวเองมีฟันคุด ก็รู้สึกกลัวการผ่าฟันคุดขึ้นมาทันทีเลย อาจจะเพราะว่าเคยมีเพื่อนหรือคนรู้จักไปผ่าฟันคุด แล้วมาบอกเล่าประสบการณ์(สยอง...หรือเปล่า) ให้ฟัง เลยทำให้กลัว จริง ๆ แล้วการผ่าฟันคุดไม่ได้น่ากลัวอย่างที่คิดกันนะคะ วันนี้เรามีเคล็ดลับที่ทำยังไงให้ผ่าฟันคุดแ้ล้วไม่เจ็บมาบอกค่ะ ก่อนอื่นเรามารู้จักกันก่อนดีกว่าว่าฟันคุดคืออะไร
ฟันคุดคือ ฟันที่ไม่สามารถขึ้นได้เต็มที่ตามปกติ โดยมากมักจะเป็นในฟันกรามซี่สุดท้าย ( ในรูปคือ ฟันสีส้ม) สามารถเป็นได้ทั้งฟันบน และ ล่าง แต่ส่วนมากฟันล่างจะพบว่าเป็นฟันคุดได้มากกว่า ส่วนฟันซี่อื่น ๆ ถ้าขึ้นมาได้ไม่เต็มซี่ก็อาจเรียกว่าฟันคุดได้เหมือนกันค่ะ แต่ไม่ค่อยพบค่ะ
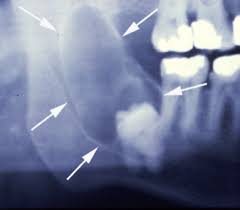
ทีนี้ฟันคุดมากคุดน้อยขึ้นอยู่กับตำแหน่งของฟัน ว่าฝังลึกลงไปในกระดูกมากน้อยแค่ไหนและมีความเอียงมากแค่ไหน (ลองดูรูปประกอบนะคะ) ถ้ายิ่งฝังลึกลงไปมาก หรือมีความเอียงมากก็จะยิ่งทำยากค่ะ ขั้นตอนการทำก็จะมีดังนี้ค่ะ 1. คุณหมอจะตรวจฟัน ซักประวัติว่ามีโรคประจำตัวไหม และ คุยกับคนไข้ก่อนว่าวันนี้จะผ่าฟันซี่นี้นะ เมื่อโอเคแล้วก็จะพาไป x-ray ดูฟันคุด 2. เมื่อได้ฟิล์มแล้ว หมออาจะบอกราคาค่าผ่าคร่าว ๆ ให้คนไข้ทราบว่าประมาณเท่าไหร่ 3. จากนั้นก็จะ เอายาชาแบบทา ทาไปที่เหงือกก่อนเพื่อลดความเจ็บปวดตอนฉีดยา แล้วค่อยฉีดยาชาอีกที 4. ระหว่างรอชา อาจจะให้ทานยาแก้อักเสบ และแก้ปวดกันไว้ก่อน(แล้วแต่เคสค่ะ) 5. เมื่อทดสอบดูพบว่าชาดีแล้วค่อยทำการผ่าฟันคุดค่ะ 6. ผ่าเสร็จก็รับยา อ่านข้อปฏิบัิตัวหลังผ่าฟันคุดแล้วกลับบ้านไ้ด้เลยค่ะ อีก 7 วันหมอจะมาดูแผล และตัดไหมที่เย็บไว้ค่ะ
จะเห็นว่าขั้นตอนที่เจ็บก็จะมีแต่ตอนฉีดยาชาเท่านั้นเอง พอชาแล้วตอนทำก็ไม่เจ็บ แต่จะมีความรู้สึก ว่า ตึง กด งัด ที่ฟันได้และช่วงที่ฟันจะหลุดออกมานั้น บางคนอาจจะเ็จ็บแปล๊บ ๆ ที่ฟันได้(ถ้าฟันซี่นั้นมีการอักเสบมาก่อน) บางคนก็ไม่รู้สึกอะไรเลย ระยะเวลาการผ่าแล้วแต่ความยากง่ายค่ะ บางคนแค่ 15 นาที บางคน เกือบชั่วโมงก็มี แต่ระหว่างทำถ้ารู้สึกว่าเจ็บก็ยกมือบอกหมอได้ค่ะ หมอจะเิ่พิ่มยาชาให้ค่ะ
เพราะฉะนั้นเคล็ดลับง่าย ๆ ก็คือ ไม่่ว่าจะเป็นการ ถอนฟัน หรือ ผ่าฟันคุด ถ้าฟันซี่นั้นไม่เคยปวดเลย เช่น พอหมอตรวจพบว่ามีฟันคุดก็รีบมาเอาออกเลย ไม่ได้รอให้มันปวด หรือ อักเสบ ตอนทำก็จะไม่เจ็บค่ะ แต่คนส่วนมาก มักรอ ร๊อ รอ จนมันไม่ไหวแล้วจริง ๆ เลยมาเอาออก ถึงตอนนั้นมันก็อักเสบพอสมควรแล้ว ยาชาจะออกฤทธิ์ได้ไม่เต็มที่เท่าที่ควรก็อาจจะรู้สึกแปล๊บๆ ตอนฟันจะหลุดได้ค่ะ และอีกอย่างนึง จากประสบการณ์ที่ผ่านมาพบว่าส่วนมากฟันคุดจะเป็นแบบง่ายไม่ยาก ใช้เวลาการทำไม่นานมาก นาน ๆ จะพบฟันคุดที่ทำยากซักทีนึงค่ะ อีกอย่างนึงที่พบมากคือ ผ่าแล้วหน้าบวม เลือดไหลโจ๊กทั้งคืนไม่หยุด อ้าปากไม่ได้ อันนี้มักเกิดจากการที่คนไข้ปฎิบัติตัวหลังผ่าฟันคุดไม่ถูกต้อง เช่น กัดผ้าก๊อซไม่แน่น ชอบบ้วนเลือดและน้ำลายออกมา หรือ อมน้ำแข็งเป็นต้น สิ่งเหล่านี้จะทำให้เลือดไหลไม่หยุดค่ะ ส่วนอาการระบม หรือ ปวด บวมนั้น เป็นเรื่องปกติของการผ่าัตัดอยู่แล้ว แต่หมอก็จะให้ยาแก้ปวด แก้อักเสบ และยาลดอาการบวมไปให้ค่ะ ถ้าฟันคุดเอาออกยาก ก็จะระบมมากหน่อย แต่ถ้าเป็นแบบง่าย ๆ ไม่้ยาก ก็อาจจะไม่เป็นอะไรเลยก็ได้ค่ะทั้งนี้ทั้งนั้น อาการทุกอย่างจะหายเป็นปกติภายใน 3- 7 วันค่ะ
เรามาดูข้อปฏิบัติตัวหลังผ่าฟันคุดกันดีกว่านะคะ
- กัดผ้าก๊อซให้แน่น ประมาณ
ครึ่ง-1 ชั่วโมง หลังจากนั้นให้คายผ้าออก ถ้ายังมีเลือดซึมอยู่ให้กัดผ้าก๊อซอันใหม่
- หากมีเลือด หรือ
น้ำลายในปาก ให้กลืนไปเลย ห้ามบ้วนทิ้ง หรือ อมไว้
- ช่วง 2
วันแรกให้ประคบตรงแก้มด้วยน้ำแข็ง หลังจากนั้นหากมีอาการบวมให้ประคบด้วยน้ำอุ่น
- ช่วงที่แผลกำลังหาย
จะมีเนื้อเยื่อสีขาวเหลืองอยู่ที่แผล ห้ามแคะ เขี่ย บริเวณปากแผล
- ทำความสะอาดฟันได้ ตามปกติ
แต่ให้ระวังบริเวณแผล
- งดบุหรี่ แอลกอฮอล์
หลีกเลี่ยงอาหารรสจัด และ การออกกำลังกายหนัก ๆ
ครบ 7 วัน ให้มาตัดไหม แล้วถ้าไม่เอาฟันคุดออกจะเป็นอะไรไหม ?????????? ฟันคุดถ้าไม่เอาออกอาจจะทำให้ มีอาการ ปวด บวมได้ค่ะ หรือ อาจจะทำให้ฟันซี่ที่อยู่ติดกันผุได้ เพราะว่า บริเวณที่ฟันคุดมันชนกับฟันซี่ที่อยู่ติดกันนั้นมักทำความสะอาดไม่ได้ค่ะ จึงมักทำให้ฟันซี่ที่ติดกันมันผุ กว่าจะตรวจพบบางทีก็สายไปเสียแล้วอุดไม่ได้ เผลอ ๆ กลายเป็นว่าต้องถอนที่ฟันคุด และ ฟันข้าง ๆ ไปด้วยนะคะ หรืออาจจะเกิดเป็นถุงน้ำรอบ ๆ ฟันคุดก็ได้ค่ะ ถ้าฟันคุดมีการอักเสบที่รุนแรง เชื้ออาจจะลามลงไปถึงคอได้ค่ะ ซึ่งค่อนข้างอันตรายพอสมควรค่ะ

สรุปคือ ถ้าพบว่ามีฟันคุึดควรรีบมาเอาออกค่ะ เก็บไว้ในปากนอกจากจะไม่เกิดประโยชน์ยังมีโทษอีกด้วยค่ะ ยิ่งมาเอาออกตอนอายุ น้อย ๆ ยิ่งเอาออกง่ายค่ะ ราคา : 1000-4000 บาท (ขึ้นอยู่กับความยากง่าย)
|